

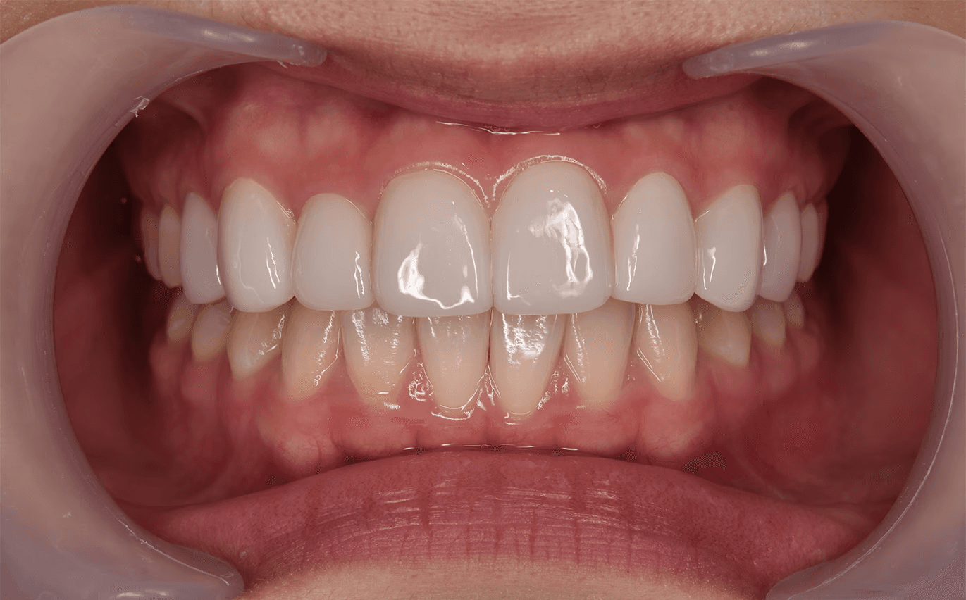
歯科タケダクリニックは、韓国で注目を集める審美技術「MINISH(ミニッシュ)」の認定クリニック(MINISH Provider)です。
ミニッシュは自分の歯をほとんど削らず、わずか0.1mm〜0.2mmの最小限の処置で、美しい仕上がりを実現できる最先端の技術。
天然の歯を大切に守りながら、透明感と自然な輝きを持つ理想的な口元へ導きます。
ミニッシュ体験者のムービー

このようなお悩みは
ありませんか?
前歯の色が気になって、人前で思い切り笑えない
歯の形や大きさが不揃いで、自然な口元にしたい
従来のベニアのように歯を大きく削るのは不安
ホワイトニングをしても、思ったように白くならない
加齢による歯のすり減りや欠けで、口元の印象が老けて見える

MINISHについて

ミニッシュは、歯をできるだけ削らずに自然な白さと形を実現する、韓国発の最先端審美矯正です。従来のラミネートベニアや審美治療では、0.7mm〜1.0mmほど歯を削る必要がありました。しかしミニッシュは、わずか0.1mm〜0.3mmの最小限の処置で、美しい歯を手に入れることが可能です。歯への負担が少なく、治療期間も短いため、忙しい方でも安心。さらに「白さ」や「形」だけでなく、歯ぐきやお顔全体とのバランスまで考えた総合的な審美を追求します。



ミニッシュの症例
ミニッシュが選ばれる4つの理由

従来よりも大幅に削る量を抑え、歯を守りながら美しさを実現。

透明感と質感まで再現し、周囲に気づかれないほど自然。

麻酔がほとんど不要だから、安心して受けられる。

歯と同じ性質を持つため、割れにくく長持ち。


ミニッシュは、一般歯科・審美歯科・矯正歯科を擁する歯科タケダグループがおすすめする治療法です。審美性・機能・健康のあらゆる視点でベストな仕上がりを追求できるのはもちろん、治療後のアフターケアも、同じ医院でそのまま診てもらえる。「審美専門クリニック」にはない、総合グループならではの安心感がここにあります。

ミニッシュ治療の流れ
※最短の2回で治療が終わるのは歯周病や虫歯がなくすぐに施術ができる場合です。なんらかの歯の疾患がある場合は、施術は治療を行ったあとになるため、来院が2回で終わらない場合があります。
※詰め物や人工の歯がある場合は前提になる処置が必要になるため、すぐに施術に入れない場合があります。

ミニッシュのよくあるご質問
ミニッシュの寿命はどれくらいですか?
ミニッシュをした後も虫歯は出来ますか?
ミニッシュ治療後、すぐに食事をしても大丈夫でしょうか?
ミニッシュは前歯だけ治療出来るのですか?
MINISHの費用
※治療一覧に記載の施術はすべて税込です
MINISHの費用
¥165,000
/1歯
※予約枠に限りがあるため、定員に達し次第終了とさせていただきます。
詳しくはお気軽にお問い合わせください。
保証期間
2年間保証
医療費控除について
矯正治療は医療費控除の対象となる場合があります。その年の1月1日から12月31日の間に、ご自身やご家族が10万円超の医療費を支払った場合、確定申告することで一定金額の所得控除が受けられます。
この制度を利用することで、自費診療の費用面の負担を軽減することが可能になります。
確定申告には当院が発行する領収書が必要になります。申告手続きまで大切に保管をお願いいたします。
お支払方法
当院では、現金払い、クレジットカードでの分割払いに対応しております。 分割払いをご希望の場合、当院ではデンタルローンをお勧めしております。その他詳しいお支払い方法に関しては、当院スタッフにお尋ねください。

1年(12回払い):約42,000円/月
2年(24回払い):約21,400円/月
3年(36回払い):約14,500円/月
4年(48回払い):約11,100円/月
5年(60回払い):約9,000円/月
6年(72回払い):約7,600円/月
7年(84回払い):約6,600円/月
※最大7年まで延長可能
ご予約・医院案内
ミニッシュ
取り扱い医院

ミニッシュ対応医院



銀座診療室
月~金 9:30~13:00/14:30~19:30
土曜日 9:30~13:00/14:00~17:00
休診日:日曜 ・ 祝日 ・ 年末年始
東京都中央区銀座4-12-15 歌舞伎座タワー16F
東京メトロ日比谷線 東銀座駅から徒歩で2分
都営浅草線 東銀座駅から徒歩で2分

TEL予約
ショートメールはいつでも受付致します。
LINE相談
LINE相談はこちらから!
公式LINEからお気軽にお問い合わせください。
グループクリニック


銀座診療室
東京都中央区
新宿診療室
東京都新宿区
麹町診療室
東京都千代田区
池袋診療室
東京都豊島区
上板橋診療室
東京都板橋区
東武練馬診療室
東京都練馬区
成増診療室
東京都板橋区
和光診療室
埼玉県和光市
朝霞診療室
埼玉県朝霞市
朝霞台診療室
埼玉県朝霞市
志木診療室
埼玉県新座市
鶴瀬診療室
埼玉県富士見市
新河岸診療室
埼玉県川越市
川越診療室
埼玉県川越市
坂戸診療室
埼玉県坂戸市






































